Teeth whitening

FacebookWhatsAppSend by Email

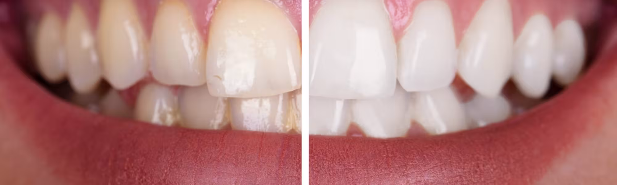
Teeth whitening is based on precise protocols, using substances that deeply clean teeth and give them shine, without affecting the enamel.

Although there are myths related to increased tooth sensitivity following tooth whitening, these do not apply when the treatment is performed according to safety and functional integrity standards, as is the case at Stomatologie Cluj. Therefore, it is possible to achieve a bright, naturally white smile without sacrificing the strength or functionality of your teeth, with the help of the teeth whitening procedure.

A bright and confident smile can bring joy and happiness to those around you.

For those interested in complete dental care, including options such as dental implants, it is essential to consult a dentist or implant specialist to evaluate the best personalized solution.